
その場限りの治療では
解決にはなりません
歯が痛くなってからですとか、悪くなってから直す「治療」は、「復元」ではなく「補修」です。
当院のデータ管理型
先端システムについて
自分の歯を大切にするということ。治療と予防の違い、お分かりでしょうか?
歯が痛くなってから、悪くなってから直す「治療」は、「復元」ではなく「補修」です。
事実、治療した歯は健康な歯と比べ、寿命がとても短くなります。
一度歯を削ってしまうと、歯は完全には元に戻りません。さらには、痛い思いをしたり治療のために何回も通ったり、再発を繰り返しますので、長い人生の中で考えますと、時間もお金もかかります。では、どうすればいいのでしょうか?
当院では、開院当初より多くの患者様にご来院いただき、むし歯・歯周病の臨床データを得ることができ、これを分析した結果、治療(修復)すること以上に、予防をテーマにオリジナルの歯を大切にする診療を行うことが、患者様の健康にとって重要であることが分かりましたので、現在の診療システムに導入しております。
当院が導入した
北欧型の予防システムについて

スウェーデンでは1974年に国庫予算の2/3を使い、歯科医療を予防にシフトさせました。結果として25年後の1999年には、義歯(入れ歯)の人口がほとんどゼロになり、80歳で25本以上の平均残存歯数を確保し、さらには老人ホームも必要なくなり、寝たきりという言葉が存在しなくなったのです。
繰り返しますが、スウェーデンは残存歯数の増加による効果として、寝たきりもゼロになったのです。つまり歯科医療の価値は口腔内に留まらず、無限大であると言えます。
現在日本では、寝たきりの老人1人に対し、年590万円程度かかると言われています。20年以上寝たきりになると、かかる費用はなんと8400万円です。
これから先、更なる長寿国となる日本において歯の寿命を飛躍的に延ばすために予防管理は必須で、この北欧型予防システムは前述のように従来型の治療中心の歯科医療では決して得ることのできない素晴らしい結果を出しています。
そのため当院では、現在ご来院いただいている患者様の個々のデータをコンピュータで管理し、治療及び予防メンテナンスに活用しています。患者様の口腔内を生涯に渡り健康的に維持・増進させ、豊かで楽しい食生活が営める様にサポート致します。

従来型の『削ってつめる歯科治療』と比較すると理解しにくい点も多々あるかとは思いますが、全てにおいて患者様の健康のために意味のあることですので、どの様な小さな点でも気になることはご質問してください。
私たちは、患者様の立場にたち行動することを常に考えています。口腔の2大疾患である、むし歯と歯周病の原因菌を根本的に取り除く予防プログラムを実地することで、疾患のリスクを根底から取り除くことができ、なによりご自身のオリジナルの歯を大切に使うことができます。
大切なのは、痛くなってから歯医者に駆け込むのではなく、虫歯や歯周病で歯を失わないように、予防で歯医者に行くことをどうぞご理解ください。
初めて来院された方は、定期メインテナンスはまず3ヶ月後に行わせていただきますが、その後は3~6ヶ月まで、患者様によって専任の歯科衛生士が治療計画を組ませていただきご提案させていただいております。
当院の予防プログラムの特徴
先端機器を導入し治療時間を大幅短縮

従来より超音波を用いた歯周病治療はありましたが、歯周ポケットの奥深くに存在する歯周病菌までは届きづらく除去しきれないのが課題でした。
歯周病の専用の超音波器具に加え、ヤグレーザー、エアフローマスター・ペリオフローの超微細なアミノ酸を高圧に噴射することで、歯周ポケット内に残った歯周病菌を徹底して取り除くことができます。
安全で痛みが少ない治療が可能です!
歯周病専用の超音波スケーラーで歯肉の上の歯石を除去。なお当院では、専用の器具には機能殺菌水を使用しています。
ペリオフローにて歯周ポケット内の細菌の除去し、歯周病学会で唯一認められたレーザーを用いてポケット内の奥深い、歯周病菌を根絶徹底的に除菌いたします。
専任の歯科衛生士が行う施術です
予防システムを導入している当院では、歯科衛生士が重要な「予防衛生業務」の役割を担っています。
歯科衛生士は国家資格を持つ有資格者ではありますが、当院では独自の教育プログラムを施し、最大限の効果を発揮できる高い専門性とスキルを施術できるように教育しています。なんとなく施術してもらったのではなく、きちんとした結果に結びつけることができるプロ集団が当院の衛生士です。
毎月、院内の勉強会を行い、担当患者様の施術内容の把握と新しい技術の習得、院外の勉強会への参加をして日々精進しています。
-

ポケットチャート
-

リスク管理
私たちはお口の中を「見える化」いたします!
客観的で、数値で表現出来る検査をし、衛生士がコンピューターで継続的に管理いたします。治療前と治療後でに数値の変化を比較し、お口の中に潜むリスクの度合いを見極め、診査診断していきます。
蓄積されたデータを継続して分析・把握することで、歯周病や虫歯の発症・再発リスクの上昇を限りなくゼロにすることが大切だと考えます。
そして『定期的に確認』してデータを更新していくことが必要になります。
定期的というのは3ヶ月に1回の来院でできることがほとんどです。歯科医院と患者様の相互協力により、生涯にわたり歯の健康は守ることが可能な時代になりました。
リスクの把握
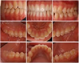
口腔内写真により主に歯茎や歯の状態をご確認いただきご説明いたします。
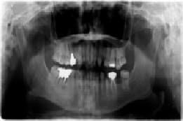
レントゲンで歯を支えている骨の状態を確認し、必要があればCT撮影します。
虫歯や歯周病の状態を確認し、治療計画を立てご提案いたします。その際に作成した資料は皆様にお持ち帰りいただいております。
-

口腔内写真
-

レントゲン
歯周治療
検査後に説明を経て治療開始です
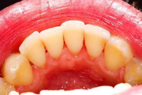
当院でスケーリングに使用している口腔機能殺菌水は、治療に使用することで徹底的な除菌を目指します。
この口腔機能殺菌水を使用し、歯の表面だけでなく、歯肉の内部にまで入り込んでいる歯垢や歯石を徹底的に除去することを目指します。
この治療は、歯周病の初期であれば1~2回です。中程度の方では2回ないし3回で終わります。重症の方では5~6回かかります。
-

スケーリング前
-

スケーリング後
歯周治療終了後に中程度以上の歯周病の方は、再度検査を行い治癒を確認いたします。治癒が確認できましたら定期検診に移ります。
むし歯の治療が必要な場合は、基本は歯周病の治療の後に虫歯の治療を行います。
定期検診の時期を歯科衛生士がお知らせして、次回来院のご予約をお取りいたします。
クリーニングの費用
すべて税込の価格表になります。
| 内容 | 歯石取り(スケーリング)、 フロッシング、 PMTC、 舌クリーニングなど |
|---|---|
| 費用(自費) | ¥14,300~¥66,000 |
| 治療期間及び回数 | 通常1日、1回 (内容により異なります) |
| 副作用・リスク | 知覚過敏の方は、刺激を感じる場合があります。 |