
ホワイトニングで
第一印象アップ!
人間の第一印象は、会った瞬間の0.6秒で決まると言われています。そのうち55%が笑顔や顔、姿、表情などの「見た目」で決まるというデータがあります。
「笑顔は第一印象のアップ」には重要な要素であり、白く輝く歯は、清潔で健康な印象を相手に与えます。
ホワイトニングは天然歯を削ることなく歯の黄ばみを分解して自然な白さに導く施術です。
皆様もホワイトニングで白い歯を手に入れて第一印象のアップをしてみませんか?
ホワイトニングで
白く綺麗な歯を手に入れよう!

皆様は笑うときに歯が黄ばんでいたりして、笑おうとしても口元を隠してしまいなかなか思い切り笑えないということはありませんか?
あなたも白く美しい歯を手に入れて、 もっとステキな笑顔になってみませんか?
ここでは歯を美しい白さにする「ホワイトニング」についてご紹介します。
ホワイトニングとは、歯に薬液をつけて歯の汚れや着色を漂白して、歯の色調を明るくすることにより白くする方法です。
ホワイトニングには、医院で行うオフィスホワイトニングと、自宅で行うホームホワイトニング、その二つを併用するデュアルホワイトニングの3種類があります。天然の歯を白くするので、自然な白さを目指せます。
ホワイトニングの種類
デュアルホワイトニング

オフィスホワイトニングとホームホワイトニングを並行して行うホワイトニングです。2~6ヶ月ほどの間に短期集中で行います。色ムラになりにくく仕上がりがきれいで、色戻りがしにくいのが特徴です。
| 場所 | 期間 | 効果 |
|---|---|---|
| ご自宅と歯科医院の2つのホワイトニングを行う | 1.5~3ヶ月間に4~6回の通院で7~10段階の白さアップを目指します | 2つのホワイトニングの長所を掛け合わせることで短期間での白さアップが期待できる |
オフィスホワイトニング

オフィスホワイトニングは、歯科医院で行うホワイトニングです。オフィスホワイトニングは歯に直接ホワイトニング剤を塗布し、特殊な光を照射して漂白していきます。
1回の施術で白さの実感が期待できるのが特徴です。目標の白さになるまで3~5回ほどかかる場合が多いです。色戻りしやすい傾向があります。
| 場所 | 期間 | 効果 |
|---|---|---|
| 歯科医院で専用の機械と薬剤を用いて行う | 一度の来院で4〜6段階の白さアップを目指します。まずは1度試してみたいという方にお勧めです。 | 一度の施術で白さアップが期待できるため、施術後に効果を実感いただきやすい |
ホームホワイトニング

歯科医院で作った専用のマウスピースと薬剤を使って自宅で行うホワイトニングです。
継続することで少しずつ白くなるのが特徴です。目標の白さになるまで薬剤を追加し継続します。
| 場所 | 期間 | 効果 |
|---|---|---|
| ご自宅で患者様が自身で行う | 2週間程度から少しずつ効果が表れますが、「白くなってきた」と感じるには1か月ほどかかります。1回で劇的に白くなることはありません。 | 低濃度の薬剤で歯の内部までじっくり白くするため、白さが長持ちしやすい |
ホワイトニング費用
すべて税込の価格表になります。
| オフィスホワイトニング(自費) | ¥16,500~¥107,800 |
|---|
| ホームホワイトニング(自費) | ホワイトニング剤を用いて歯を白くします | ¥16,500 |
|---|---|---|
| 既にマウスピースをお持ちの方は ホームホワイトニングジェル ※ジェルの追加に応じて金額は変動します。 |
¥1,980~¥2,310 |
| 医薬品医療機器等法(薬機法)に関する記載事項 |
|
|---|
ホワイトニングの流れ
-
STEP 1

口内チェック
特別な薬剤を使用しますので、ホワイトニングの施術前に歯科医師がお客様の口内環境を確認いたします。 -
STEP 2

施術前の歯の色をチェック
施術前後でどれだけ白くなったか違いが確認できるよう施術前の歯の色をチェックします。 -
STEP 3

ホワイトニングプランの決定
目標とする色を達成するためのプランや、一人ひとりの歯の質に合わせたご提案をいたします。 -
STEP 4

ホワイトニング開始
薬事承認を取得した薬剤を歯面に塗布し、業界唯一のクラスⅡ認証を取得した照射器を使って歯を白くしていきます。 -
STEP 5

施術後の歯の色チェック
施術後の注意(30分は色の濃い食事を控えいただくなど)のご説明など、お客様の不安が残らないようご質問にお答えします。
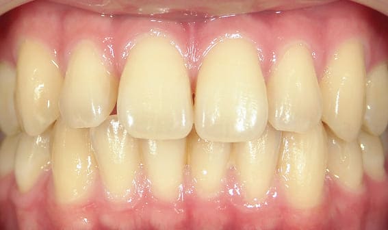
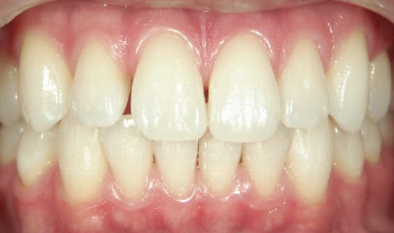
ホワイトニングの症例
ホワイトニングエスコートコースでのホワイトニング
-
- 内容
- オフィスホワイトニング(3回)、
ホームホワイトニング(2か月分)、
クリーニング(2回)、
特選ホームケア用品
-
- 費用
- 107,800円(税込)
-
- 副作用・
リスク - 個人差がありますが、施術中や施術後に歯がしみる場合があります。
- 副作用・
オフィスホワイトニング・プロプラス、
クリーニング・プロ、
ナノアパタイトコート研磨で施術を行っております。
ホワイトニングに関するよくある質問
- 1.1回の施術で白くなりますか?
-
一度の施術でも効果を実感できますが、希望する白さに達するために複数回施術を受ける方が多くいらっしゃいます。
- 2.1回のホワイトニングでどれくらい白くなりますか?
-
メニューによりますが、オフィスホワイトニングプロの場合、歯の色が4~6段階の白さの向上を目指すことが可能です。
- 3.白さはどれくらいもちますか?
-
歯の色が元に戻るまでの期間は、生活習慣や歯の状態によりますが、一般的には3~10か月程度とされています。施術後3日を過ぎた頃から、再石灰化の影響で少しずつ色が戻り始めます。白さを維持するためには、色が完全に戻る前に再度ホワイトニングを行うことがおすすめです。
- 4.白くなったら通う必要はないですか?
-
白くなった後も、定期的なメンテナンスをおすすめします。再石灰化の影響で色が戻ってしまうためです。最初の1年は、オフィスホワイトニングでは3ヶ月ごとに1回以上の施術を、ホームホワイトニングでは2週間に1度以上の使用を推奨しています。
- 5.歯が不自然なほど白くなってしまうことはありませんか?
-
ホワイトニングは、元の歯の黄ばみを取り除くことで、自然で透明感のある白さを実現します。芸能人の中には、非常に白く見える方もいますが、それは多くの場合、セラミックで天然の歯以上に白くしているケースです。

